Zapraszamy. Skorzystaj z doświadczenia naszych specjalistów.
Zapraszamy. Skorzystaj z doświadczenia naszych specjalistów.

29.11.20
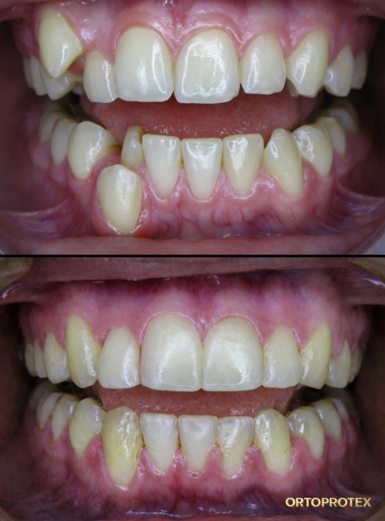
W ubiegłym tygodniu zakończyłam leczenie ortodontyczne u Pani doktor Ślusiewicz. Już na pierwszej wizycie konsultacyjnej otrzymałam cały plan leczenia oraz orientacyjny termin zdjęcia aparatu. Wszystko zostało jasno wyjaśnione włącznie z kosztami, które poniosę jeśli zdecyduje się na założenie aparatu. Mając porównanie z poprzednim gabinetem ortodontycznym (aparat który nosiłam był moim drugim aparatem stałym, ponieważ po poprzednim aparacie wada wróciła, pomimo stosowania wszystkich zaleceń ortodonty), gabinet Pani Ślusiewicz nastawiony jest na komfort pacjenta. Na każdej z wizyt korekcyjnych normą było dokładne wyczyszczenie zębów przed zmianą łuku. Pani doktor za każdym razem wyjaśniała w jakim kierunku postępuje leczenie, jak zmienia się układ zębów i jakie będą rezultaty od aktualnej do kolejnej wizyty. Z wystawieniem opinii dla Pani doktor, czekałam aż do momentu zdjęcia aparatu i teraz śmiało mogę powiedzieć, że efekty leczenia są dokładnie takie, jakich oczekiwałam i jakie przedstawiłam na pierwszej wizycie. Jeżeli ktoś ma przykre doświadczenia po poprzednich lekarzach i chce mieć pewność, że w końcu spełni swoje oczekiwania co do wyglądu swoich zębów, z całym sercem mogę polecić Panią Joannę Ślusiewicz.
12.08.15
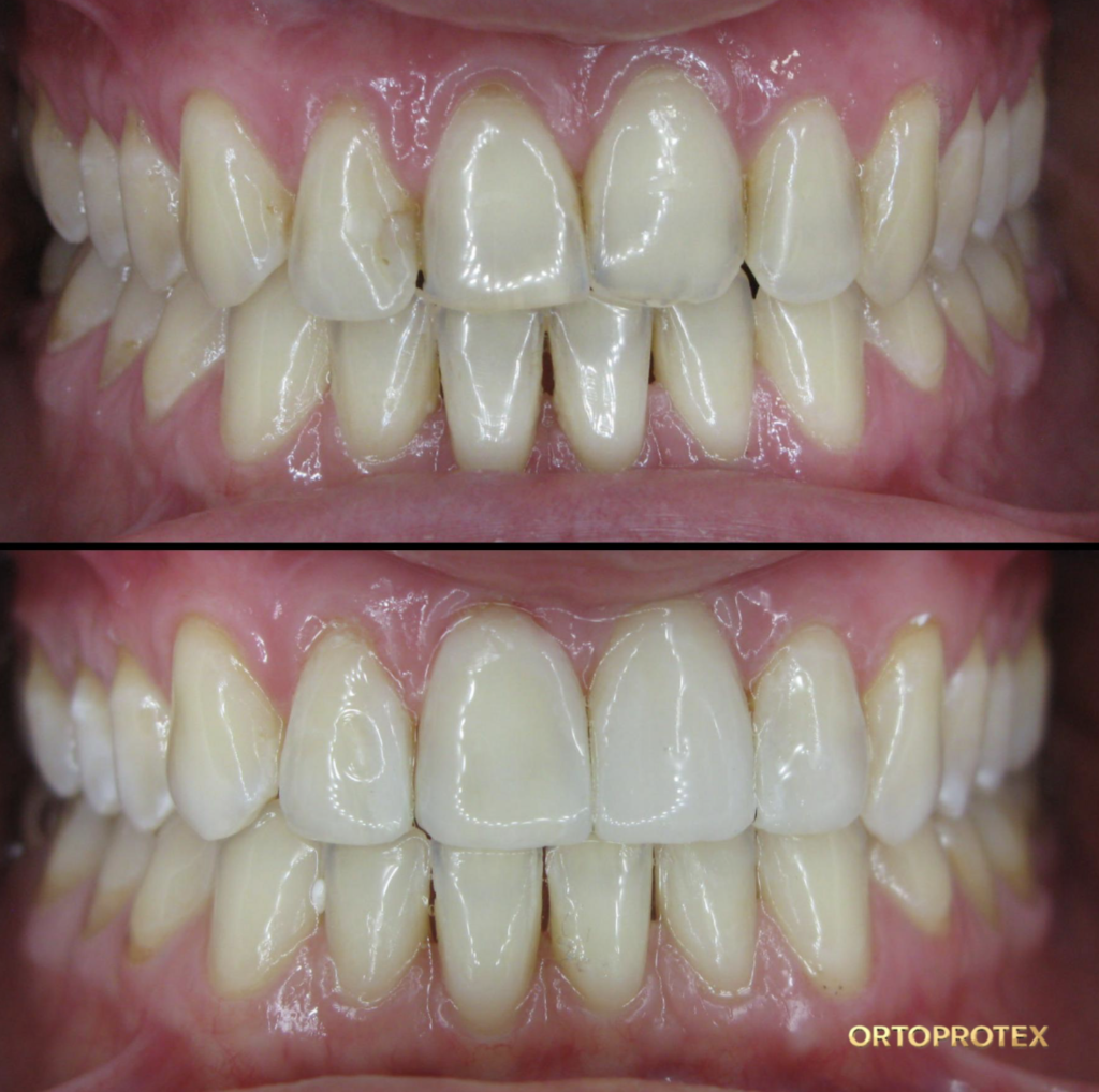
Polecam!!! Miła atmosfera w gabinecie i co najważniejsze efekty. Leczenie trwało 16 miesięcy niesamowita zmiana. Uśmiech wart wydanych pieniędzy. Dr. Joanna Ślusiewicz expert w otodoncji.
30.05.18
Pani Doktor jeszcze raz chciałabym podziękować za przywrócenie Hani pięknego uśmiechu. Dziękujemy za serce, pasję i zaangażowanie z jakim wykonuje Pani swój zawód. Pomimo wielu lat leczenia u innych specjalistów dopiero Pani potrafiła wyjaśnić nam jak ma przebiegać leczenie naszego dziecka i co jest dla niego najlepsze. Wiemy, że przed Hanią jeszcze długa droga do zakończenia leczenia ale dzięki Pani wiemy co nas czeka i z większym spokojem patrzymy w przyszłość. Jest Pani nie tylko świetnym lekarzem ale przede wszystkim cudownym człowiekiem. Wiemy, że nie mogliśmy trafić lepiej, z całego serca polecamy wszystkim Panią Doktor Joasię Ślusiewicz – rodzice Hani

Zapraszamy. Skorzystaj z doświadczenia naszych specjalistów (stomatologów/dentystów, ortodontów)
Prywatna Przychodnia Stomatologiczna Ortoprotex od ponad 25 lat ma przyjemność pomagać Państwu w drodze po piękny uśmiech. Nasza placówka, zlokalizowana w Łodzi, to miejsce, gdzie doświadczoni stomatolodzy, dentysci, pracuje ramię w ramię z naszym zespołem lekarzy specjalistów i wykwalifikowanych asystentek. Razem tworzymy kompetentny zespół o łącznej liczbie 14 lekarzy specjalistów i 10 wykwalifikowanych asystentek, gotowych do zapewnienia Państwu kompleksowej opieki stomatologicznej.
Tworzymy dla Państwa plany leczenia ZESPOŁOWEGO, aby kompleksowo stworzyć nowy uśmiech. Każdy nasz Pacjent przechodzi wstępny przegląd mikroskopowy, wykonujemy niezbędne zdjęcia, w tym tomograficzne, analizujemy Państwa oczekiwania i ustalamy plan leczenia zespołowego. Współpracujemy z wieloma specjalistami (stomatolodzy, dentyści, ortodonci), dlatego ustalamy ilu lekarzy i w jakim czasie będzie się Państwem zajmować. Pracę zespołową skoordynuje Państwa lekarz główny, zapewniając pełną opiekę.
Nasi młodsi pacjenci ortodontyczni są jednocześnie pod opieką stomatologiczną równoległą z leczeniem ortodontycznym. Dla dorosłych pacjentów ortodontycznych opracowujemy plan leczenia obejmujący stomatologię, ortodoncję, endodoncję, implantologię, aż po najbardziej spektakularną część – stomatologię estetyczną.
Przyjmujemy Państwa w sześciu gabinetach o zabawnych nazwach związanych z wystrojem, takich jak Dżungla, Supermarket, Nowy York, Egipt, Lawenda i Biblioteka. Nasza przychodnia dysponuje najnowocześniejszym sprzętem i wyposażeniem, które spełniają najwyższe światowe standardy leczenia stomatologicznego. Leczymy zarówno dzieci, jak i dorosłych, oferując również opcję leczenia z użyciem sedacji, aby zapewnić komfort i wygodę naszym Pacjentom.
Czyli wszystko związane z Państwa leczeniem zaczyna się i kończy w Ortoprotex, gdzie zapewniamy kompleksową opiekę stomatologiczną, aby pomóc Państwu osiągnąć zdrowy i piękny uśmiech.