Zapraszamy. Skorzystaj z doświadczenia naszych specjalistów.
Zapraszamy. Skorzystaj z doświadczenia naszych specjalistów.

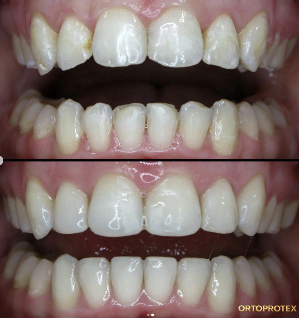
Czasem wystarczy subtelna korekta, by wydobyć naturalne piękno Twoich zębów — bez ingerencji, bez niszczenia ich struktury
Delikatna kosmetyka stomatologiczna pozwala:
✔️ wyrównać drobne nierówności brzegów zębów
✔️ skorygować kształt w naturalny sposób
✔️ przywrócić harmonię uśmiechu
To małe zmiany, które robią dużą różnicę — uśmiech staje się bardziej estetyczny, zadbany i spójny, a jednocześnie nadal w pełni Twój 💎
Naturalność jest dziś najpiękniejszym trendem
Pracę wykonała doktor Katarzyna Kozłowska
Zapraszamy. Skorzystaj z doświadczenia naszych specjalistów.